Osservazione e misurazione di semiconduttori di potenza (dispositivi di potenza) utilizzando microscopi digitali
A differenza dei semiconduttori tipici che gestiscono dati, come CPU e memoria, i semiconduttori di potenza controllano la potenza elettrica e sono chiamati dispositivi di potenza. Questa sezione presenta esempi di come osservare e misurare i semiconduttori di potenza (dispositivi di potenza) utilizzando microscopi digitali.

- Che cos’è un semiconduttore di potenza?
- Funzioni dei semiconduttori di potenza
- Tipologie e caratteristiche dei semiconduttori di potenza
- Esempi di osservazione e misurazione di semiconduttori di potenza (dispositivi di potenza) utilizzando microscopi digitali
Che cos’è un semiconduttore di potenza?
Benché non siano definiti in modo chiaro, i semiconduttori che controllano una grande quantità di tensione e corrente e hanno una corrente nominale di 1 A o più sono generalmente definiti semiconduttori di potenza.
Funzioni dei semiconduttori di potenza
- Inverter:
- Converte la corrente continua (CC) in corrente alternata (CA).

- A: Inverter
- a: Corrente continua
- b: Corrente alternata
- Convertitore:
- Converte CA in CC.

- A: Convertitore
- a: Corrente alternata
- b: Corrente continua
- Conversione di frequenza:
- Converte la frequenza CA.

- A: Conversione di frequenza
- a: Corrente alternata
- Regolatore:
- Converte la tensione CC.

- A: Regolatore
- a: Corrente continua
Tipologie e caratteristiche dei semiconduttori di potenza
Diodo di potenza
Funzione: rettifica
I diodi di potenza conducono corrente in una direzione, senza commutazione.
Transistore di potenza
Funzione: commutazione e amplificazione
- Tiristore
- I tiristori sono stati i primi transistori di potenza a diventare disponibili e sono caratterizzati da un’alta tensione di resistenza.
- Transistore a semiconduttore di ossido di metallo a effetto di campo (MOSFET)
- I MOSFET di potenza sono caratterizzati da alta velocità e alta frequenza. Questi transistori di potenza sono comunemente utilizzati per prodotti a basso range di tensione di resistenza, fino a circa 200 V. Prodotti tipici sono dispositivi IT, inclusi i laptop.
- Transistore bipolare a gate isolato (IGBT)
- Gli IGBT sono caratterizzati da alta tensione di resistenza, alta velocità e alta frequenza. Questi transistori di potenza sono comunemente utilizzati per prodotti con un range di tensione di resistenza da medio ad alto, pari o superiore a 200 V. I prodotti tipici includono veicoli elettrici, veicoli ibridi e vagoni ferroviari.
Esempi di osservazione e misurazione di semiconduttori di potenza (dispositivi di potenza) utilizzando microscopi digitali
Questi sono recenti esempi di osservazione e misurazione dei semiconduttori di potenza che utilizzano il Microscopio digitale 4K della Serie VHX di KEYENCE.


Osservazione di un componente difettoso su un semiconduttore di potenza
Le irregolarità superficiali vengono visualizzate in modalità Effetto ombra ottico, che consente di determinare rapidamente se le aree difettose sono state causate da adesione o ammaccature.


Osservazione di un materiale per wafer di semiconduttori di potenza
L’utilizzo della funzione di eliminazione del riflesso anulare elimina il bagliore dalle superfici.


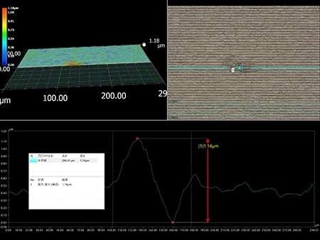
Osservazione di riempitivi in una resina per stampo di semiconduttore di potenza
L’utilizzo della funzione HDR migliora il contrasto, permettendo una misurazione del profilo precisa dei riempitivi.





